Osteology Foundation

 |  DIAMOND

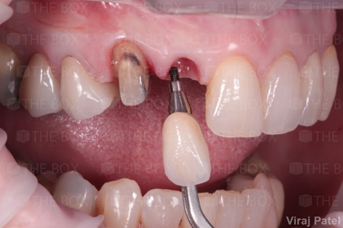
A new case was made public by Ayse Gokce Sahin check it out here.

...see more

Osteology Foundation

 |  DIAMOND

A new case was made public by Jean-Claude Imber check it out here.

...see more

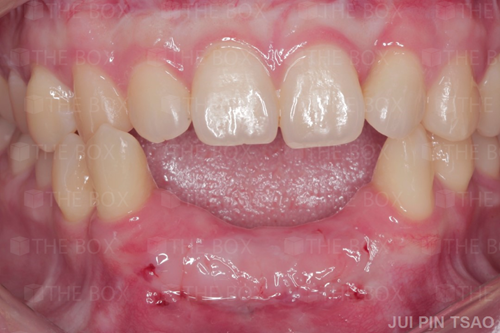
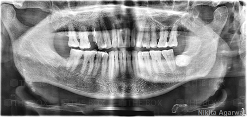
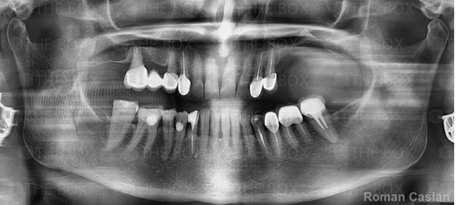
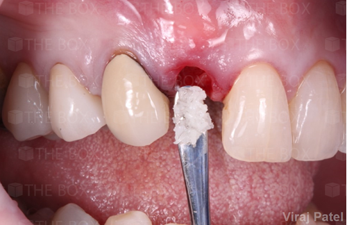
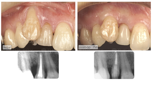
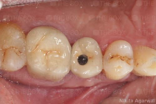
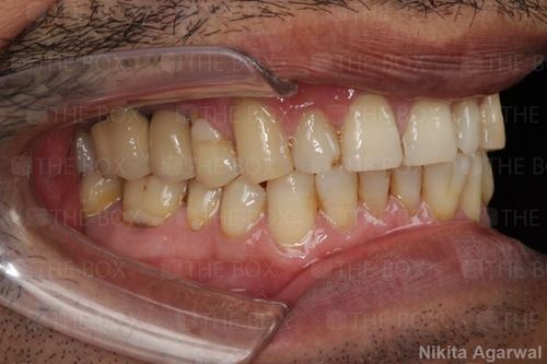
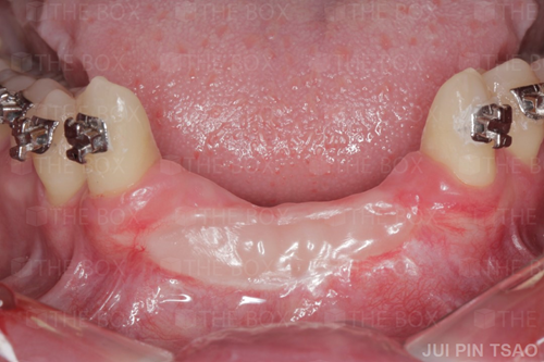
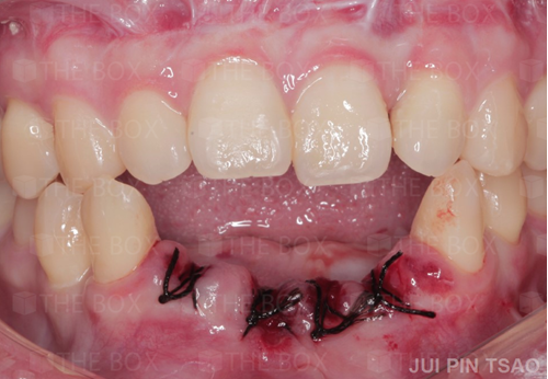
ELSAID Ahmed

Infra bony defect one wall defect follow up 18 months show regeneration of buccal bone and interdental defect utilizing allograft bone substitute
...see more

Osteology Foundation

 |  DIAMOND

A new case was made public by Viktoria Plyeshakova check it out here.

...see more

Amarender Vadivelu

 |  GOLD
Some years ago in a paper I wrote that Periodontal disease can compromise systemic health by causing a 'ripple' effect. This is important because we have a huge

inflammatory burden on our hands due to the high incidence of gingivitis. Hujoel quantified the inflammatory

burden. The PISA beckons us to use Periodontal pocket area to quantify inflammatory burden. Offenbacher (personal communication)mentioned that Gingivitis can upset the systemic apple cart with reference to perinatal outcomes. A campaign needs to be undertaken to recognize/refer/treat gingivitis by all health care practitioners.














...see more

Osteology Foundation

 |  DIAMOND

A new case was made public by Nima Farshidfar check it out here.

...see more

Osteology Foundation

 |  DIAMOND

A new case was made public by he binghao check it out here.

...see more

Osteology Foundation

 |  DIAMOND

A new case was made public by Amanda Rodriguez Betancourt check it out here.

...see more

Osteology Foundation

 |  DIAMOND

A new case was made public by Meizi Eliezer check it out here.

...see more

Osteology Foundation

 |  DIAMOND

A new case was made public by Aaron Herschberg check it out here.

...see more