OSTEOLOGY CASE BOX

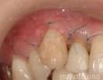
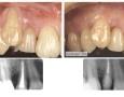
Soft Tissue > Tooth > Recession Coverage

Summary Case - By makoto ono

PATIENT DEMOGRAPHICS

GENDER:

FEMALE

AGE:

30

RACIAL DESIGNATION / ETHNICITY:

ASIAN

SYSTEMIC FACTORS

ASA:

I

SMOKING:

Never

OVERALL PERIODONTAL STATUS:

Unstable

DIABETES:

No

BMI:

OSTEOPOROSIS:

No

ANTIRESORPTIVE:

No

RADIATION THERAPY:

No

SITES/SITE-SPECIFIC

TECHNIQUE & MATERIALS

Coronally Advanced Flap
CBCT :
Yes
BONE GRAFT :

Allograft: FDBA

MEMBRANE:
SOFT-TISSUE GRAFT:

Autograft: CTG

BIOLOGIC:
Yes - EMD
TENTING SCREWS:
No
SUTURES:

Non-resorbable

SURGICAL DRESSING:
No
ANTI-INFLAMMATORY TREATMENT:

No

IMPLANT PLACEMENT:
None
OTHER:

Pictures

Baseline
Surgery
1 Weeks
7 Months
1 Year

PARAMETERS