OSTEOLOGY CASE BOX

Ridge Augmentation > Combined Horizontal & Vertical

Summary Case - By Nikita Agarwal

PATIENT DEMOGRAPHICS

GENDER:

MALE

AGE:

68

RACIAL DESIGNATION / ETHNICITY:

ASIAN

SYSTEMIC FACTORS

ASA:

II

SMOKING:

Never

OVERALL PERIODONTAL STATUS:

Stable

DIABETES:

No

BMI:

23.00

OSTEOPOROSIS:

No

ANTIRESORPTIVE:

No

RADIATION THERAPY:

No

SITES/SITE-SPECIFIC

TECHNIQUE & MATERIALS

CBCT :
Yes
BONE GRAFT :

Particuled

Autograft: Implant Site

Xenograft: Bio-Oss

MEMBRANE:

Resorbable: Bio-Gide

SOFT-TISSUE GRAFT:
BIOLOGIC:
Yes - Autogenous PRF
TENTING SCREWS:
No
SUTURES:

Resorbable

SURGICAL DRESSING:
Yes
ANTI-INFLAMMATORY TREATMENT:

Systemic

IMPLANT PLACEMENT:
6 Months
OTHER:

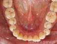
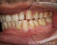
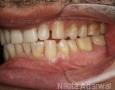
Pictures

Baseline
Surgery
3 Months
4 Months
6 Months
1 Year

PARAMETERS